
Clínica Dentária em Águeda
Tratamentos para a sua Saúde Oral e Bem-Estar
+5
Anos de Experiência
+25000
Procedimentos
+3000
Casos de Sucesso
Conheça a Equipa CC CLINIC
A nossa equipa de dentistas experientes está pronta para cuidar do seu sorriso com tratamentos personalizados.

Implantologia Guiada
Oferecemos implantologia guiada em Águeda, com tecnologia digital para uma reabilitação oral precisa e rápida.
Planeamento Digital: Posicionamento preciso dos implantes.
Substituição de Dentes: Solução personalizada e segura.
Reabilitação Completa: Ideal para perda total ou parcial.

Dentes fixos num dia
Solução inovadora para substituir dentes perdidos com dentes fixos em apenas 24 horas.
Implantes Rápidos: Resultados em 1 dia.
Planeamento Digital: Maior precisão e conforto.
Sorriso Completo: Reabilitação total de dentes.

Alinhadores Invisíveis
Alinhe os seus dentes de forma confortável e discreta com alinhadores invisíveis personalizados.
Discretos: Transparentes e imperceptíveis.
Removíveis: Fáceis de tirar.
Confortáveis: Feitos à medida.
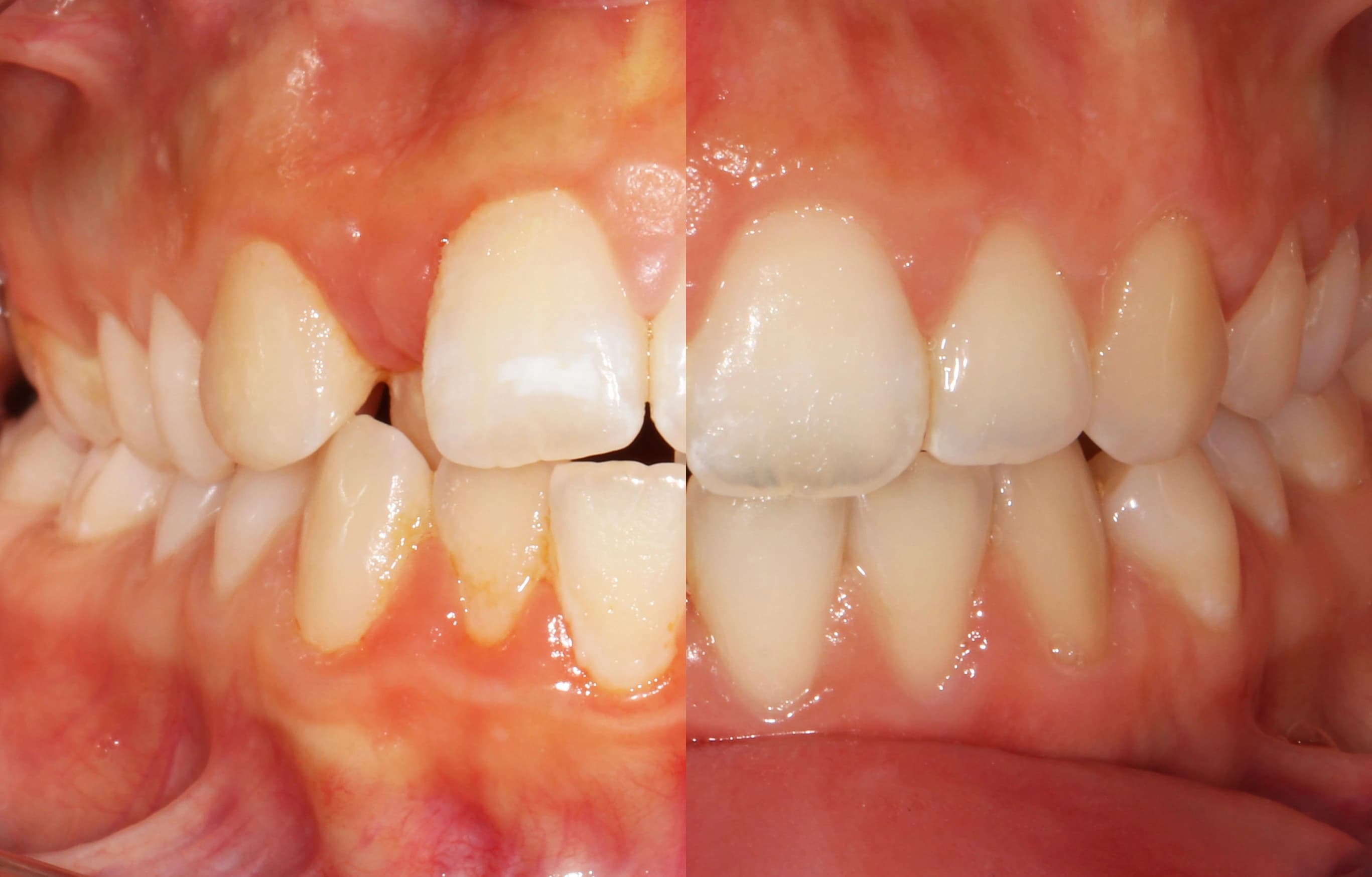
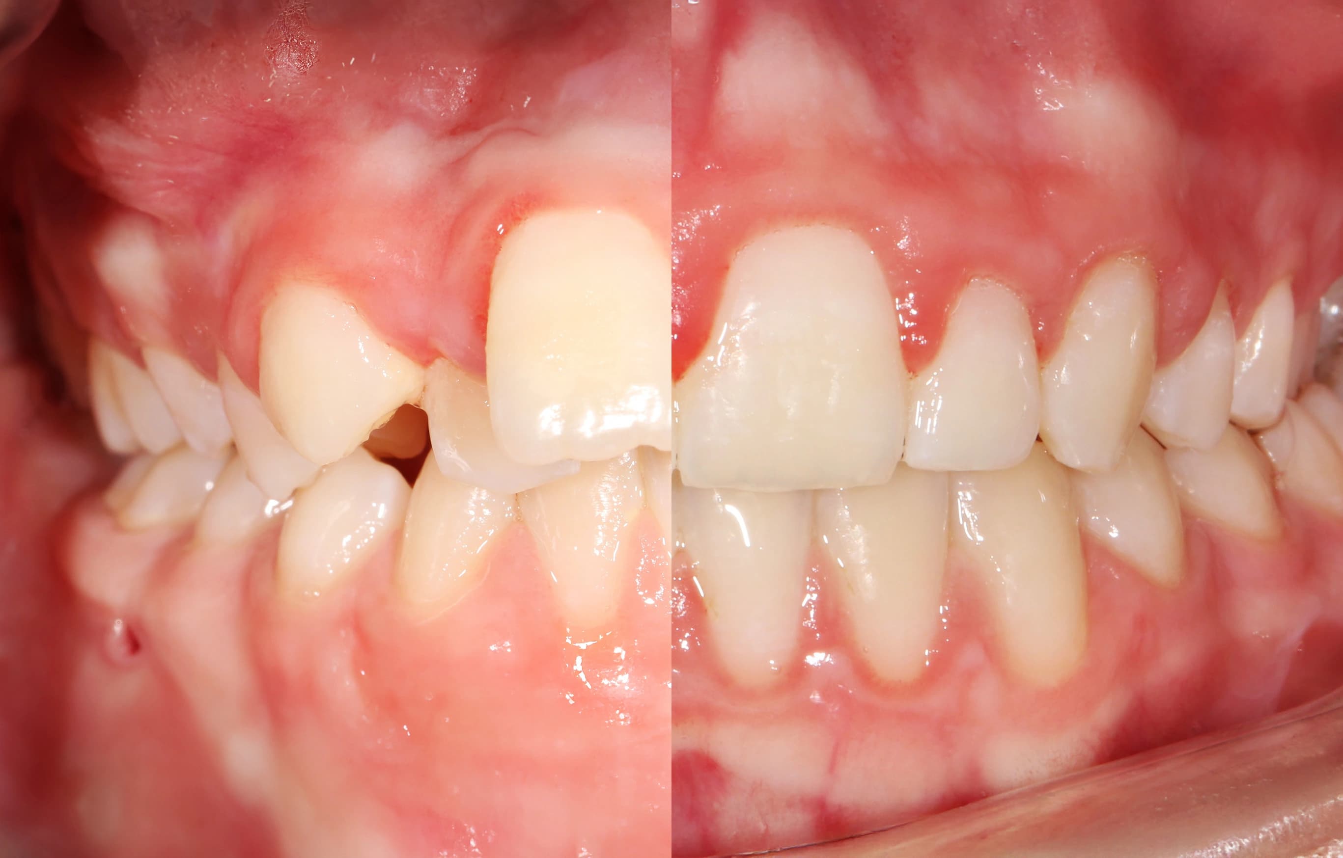
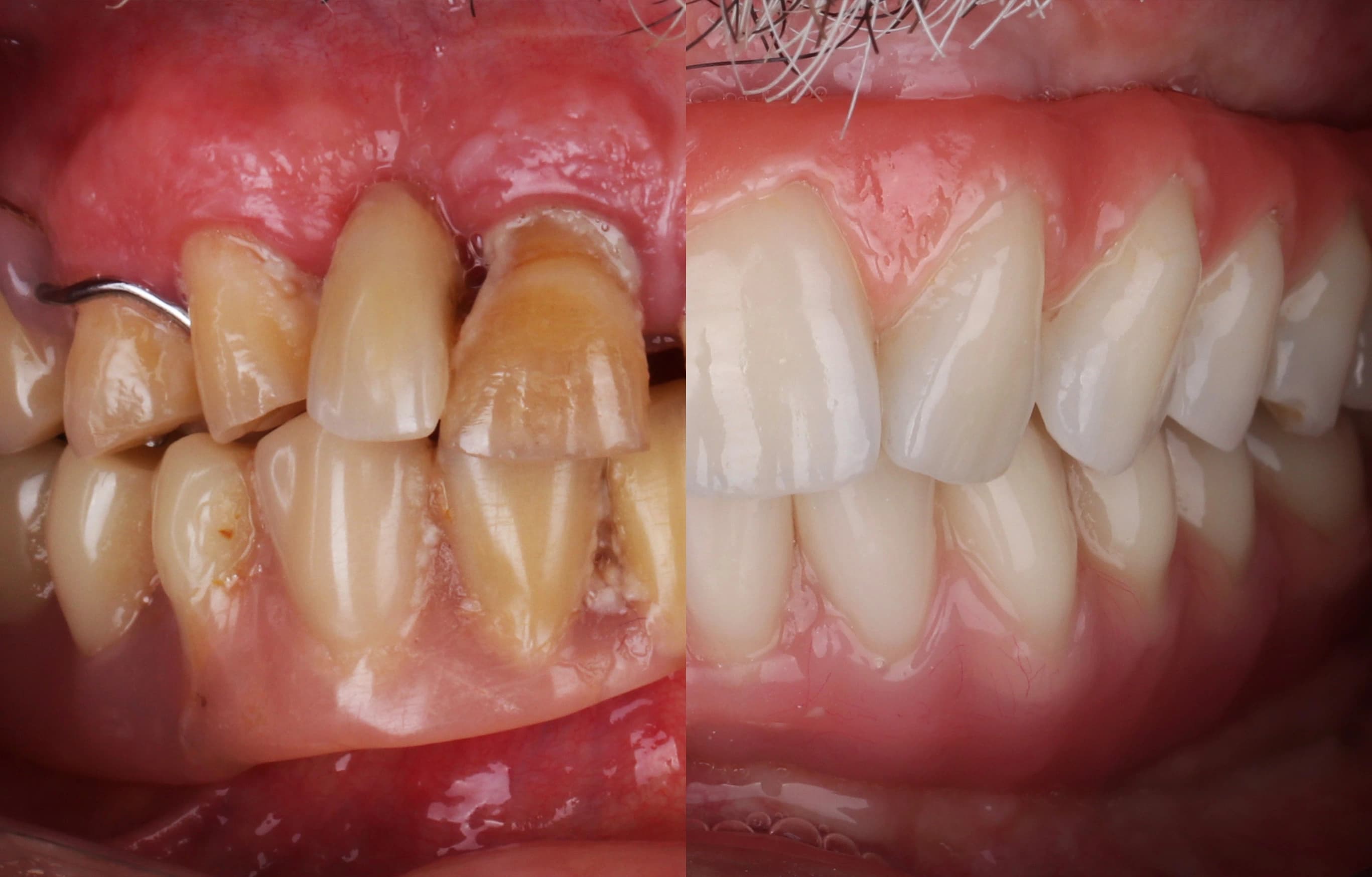
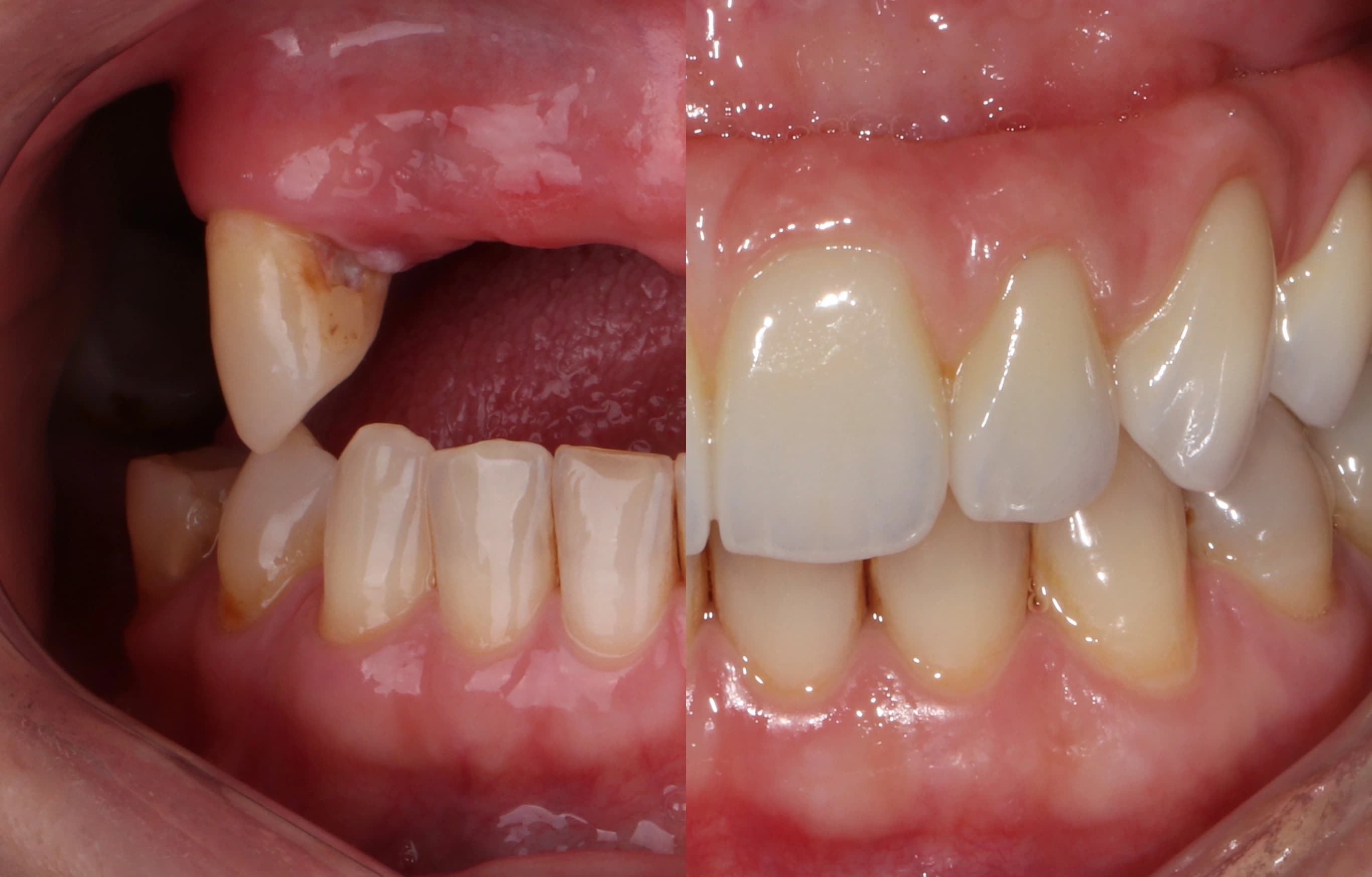
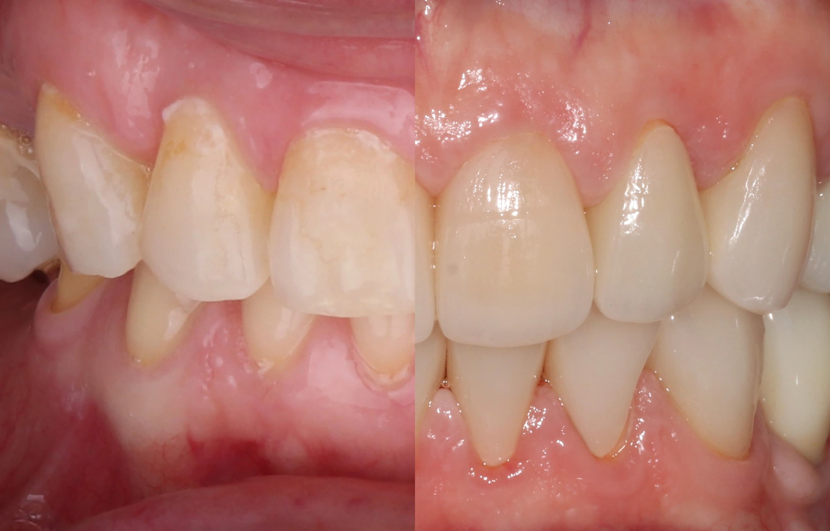
Galeria da Clinica













Marque já a sua consulta
Blog CC Clinic

Agosto 15, 2025
Halitose: O que é, Causas e Como Tratar com um Dentista em Águeda
A halitose, conhecida como mau hálito, é um problema comum que afeta uma grande parte da população e pode ter impacto significativo na autoestima e nas relações pessoais. Na CC Clinic – dentista Águeda, oferecemos soluções eficazes e personalizadas para o diagnóstico e tratamento da halitose. ..

Agosto 15, 2025
Cárie Dentária: O que é, Sintomas e Como Tratar com um Dentista em Águeda
A cárie dentária é uma das doenças orais mais comuns em todo o mundo e pode afetar pessoas de todas as idades. Quando não tratada a tempo, pode evoluir para situações dolorosas e comprometer...

Julho 11, 2025
Dor de Dentes: Causas, Sintomas e Quando Consultar um Dentista
A dor de dentes é um dos motivos mais frequentes que leva os pacientes a procurar ajuda médica. Pode variar de um ligeiro desconforto a uma dor intensa e incapacitante, afetando diretamente ...

Junho 17, 2025
Bruxismo: o que é, quais os sintomas e como tratar
O bruxismo é uma condição cada vez mais comum entre adultos e crianças, caracterizada pelo ato involuntário de ranger ou apertar os dentes, especialmente durante o sono. Na CC Clinic – denti...
Testemunhos




Pedro Geraldes
Porto
Agradeço imenso o excelente serviço prestado por toda a equipa CC Clinic, que foi sempre marcado por extrema atenção, enorme empatia e um nível de profissionalismo exemplar.
Onde Estamos
R. do Barril, Edifício Zuzu, Lj R, 3750-782 Águeda
Ver no mapaSubscreva a nossa NewsLetter
Novidades, Exclusivos e Promoções CC Clinic






